Abstract
Introduction:
Mutations of SRSF2, a gene involved in RNA splicing, are identified across a heterogenous group of myeloid neoplasms including MDS, CMML, and MPN. SRSF2 mutations have been associated with thrombocytopenia in MDS, but not in the case of MDS/MPN overlap conditions. When co-mutated with TET2, SRSF2 is associated with monocytosis and a myeloproliferative phenotype. SRSF2 mutations are also identified in normal individuals and in those with clonal cytopenias of undetermined significance (CCUS). Studies have examined genotype-phenotype correlations in myeloid malignancies, but similar analysis of the heterogeneity amongst patients with CCUS are lacking. Although dysplasia is not a defining feature of CCUS, sub-diagnostic dysplasia can be seen in CCUS and this subset notably had a higher proportion of spliceosome mutations. Here we describe the clinical and pathological features of a series of CCUS patients with prolonged, isolated thrombocytopenia and a SRSF2 mutation.
Methods:
We conducted a retrospective review of the electronic medical records of patients seen in the outpatient Hematology Clinic at the University of Southern California Norris Comprehensive Center between May 2014 and December 2021. Patients with persistent (> 6 months) isolated thrombocytopenia, a SRSF2 pathogenic mutation identified on a myeloid molecular panel, and absence of WHO-defined dysplasia or hematologic neoplasm on initial bone marrow biopsy were included. A work-up for alternative etiologies of thrombocytopenia was completed based on the clinical judgment of the treating physician. Bone marrow biopsies were reviewed by 2 independent hematopathologists. This study was approved by the Institutional Review Board of the University of Southern California. All patients signed informed consent.
Results:
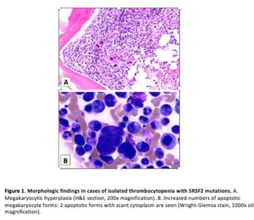
Five patients met criteria for inclusion. All patients were male. Median age at diagnosis of thrombocytopenia was 61 years (56-74). Two patients were Asian and 3 were Caucasian. The median time from diagnosis of thrombocytopenia to the identification of a mutation on a myeloid molecular panel was 4 years (3-12). No patients had a family history of hematologic malignancy. Initial bone marrow biopsies did not meet WHO-defined thresholds for morphologic dysplasia. However, all patients had megakaryocytic hyperplasia and megakaryocytes with hyperchromasia and high nuclear-cytoplasmic ratio in 20% of megakaryocytes (Figure 1). Two patients who had CD34 staining showed positive staining in 30% of megakaryocytes. Four patients had normal cytogenetics and 1 patient had monosomy 7. Median bone marrow cellularity was 65% (30-80%). Two patients had intermittent peripheral monocytosis but did not meet the diagnostic criteria for CMML. No monocyte proliferation or immature monocytes were seen on bone marrow. SRSF2 mutations were P95H in 3 patients and P95L in 2 patients. Average variant allele frequency was 37.3% (range 28 - 50.2). Four patients had a co-occurring TET2 mutation; other co-mutated genes included RUNX1 (3 pts.), ASXL1 (1 pt.), DNMT3A (1 pt.), and NF1 (1 pt.). Median number of co-occurring mutations was 2 (0-3). Three patients were treated empirically for immune thrombocytopenia and had no response to IVIG and/or steroids. Three patients were treated with thrombopoietin receptor agonists (2 eltrombopag, 1 romiplostim) and had minimal transient platelet count increases not meeting the IWG MDS criteria for response. One patient was treated with hypomethylating agents for 4 months before progressing to MDS or AML. Four patients required as-needed platelet transfusions. To date, 4 have progressed to MDS or AML with a median time from diagnosis to progression of 6.3 years (range 5-10). Three patients have received allogeneic hematopoietic stem cell transplant.
Conclusion:
This series describes a subset of CCUS patients with isolated thrombocytopenia associated with SRSF2 mutations. We also describe atypical megakaryocytic findings which do not meet current WHO diagnostic criteria for dysmegakaryopoiesis; however, the uniform presence of these findings in this cohort suggests an association with thrombocytopenia and CCUS.
Disclosures
No relevant conflicts of interest to declare.
Author notes
Asterisk with author names denotes non-ASH members.
